ORTOPEDIA E TRAUMATOLOGIA
CIRURGIA DO MEMBRO SUPERIOR
Artrite e Artrose do Ombro
Artrite do Ombro O termo artrite significa literalmente inflamação de uma articulação, mas geralmente é usado para descrever qualquer condição em que haja dano à cartilagem. Danos na cartilagem da articulação do ombro causam artrite do ombro. A inflamação é a resposta natural do corpo às lesões. Os sinais de alerta que a inflamação apresenta são vermelhidão, inchaço, calor e dor.
A cartilagem é um revestimento que absorve o estresse mecânico. A proporção de danos à cartilagem e inflamação sinovial varia com o tipo e estágio da artrite. Normalmente a dor no início é causada por inflamação. Nos estágios posteriores, quando a cartilagem está desgastada, a maior parte da dor vem da fricção mecânica de ossos esfregando uns nos outros.

Tipos de artrite Existem mais de 100 tipos diferentes de doenças reumáticas. Os mais comuns são a osteoartrite e a artrite reumatóide.
Osteoartrite: A osteoartrite também é chamada de doença articular degenerativa; este é o tipo mais comum de artrite, que ocorre com frequência em pessoas idosas. Essa doença afeta a cartilagem, o tecido que amortece e protege as extremidades dos ossos em uma articulação. Na osteoartrite, a cartilagem começa a se desgastar com o tempo. Em casos extremos, a cartilagem pode se desgastar completamente, não deixando nada para proteger os ossos em uma articulação, causando o contato osso com osso. Os ossos também podem inchar ou se projetar na extremidade de uma articulação, e isso é chamado de esporão ósseo.
A osteoartrite causa dor nas articulações e pode limitar a amplitude de movimento normal de uma pessoa (a capacidade de mover e dobrar livremente uma articulação). Quando grave, a articulação do ombro pode perder todos os movimentos, tornando a pessoa incapacitada.
Artrite reumatóide: é uma doença autoimune na qual o sistema imunológico do corpo (a forma como o corpo luta contra infecções) ataca as articulações, tecidos e órgãos saudáveis. Ocorrendo mais frequentemente em mulheres em idade reprodutiva (15-50), esta doença inflama o revestimento (ou sinóvia) das articulações. Pode causar dor, rigidez, inchaço e perda de função nas articulações. Quando grave, a artrite reumatóide pode deformar ou alterar uma articulação.
A artrite reumatóide afeta principalmente as articulações das mãos e dos pés e tende a ser simétrica. Isso significa que a doença afeta as mesmas articulações em ambos os lados do corpo (ambas as mãos ou os dois pés) ao mesmo tempo e com os mesmos sintomas. Cerca de duas a três vezes mais mulheres do que homens têm esta doença.

Artrite Reumatóide
Sintomas
Existem várias formas de artrite e os sintomas variam de acordo com a forma de artrite. Cada tipo afeta o corpo de forma diferente. Os sintomas artríticos geralmente incluem inchaço e dor ou sensibilidade nas articulações por mais de duas semanas, vermelhidão ou calor em uma articulação, limitação de movimento de uma articulação e rigidez articular matinal.
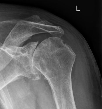
Em um ombro artrítico O revestimento da cartilagem é mais fino do que o normal ou completamente ausente. O grau de dano e inflamação da cartilagem varia com o tipo e estágio da artrite A cápsula do ombro artrítico está inchada O espaço articular é estreito e de contorno irregular; isso pode ser visto em uma imagem de raios-X. Esporões ósseos ou osso excessivo também podem se acumular ao redor das bordas da articulação
Diagnóstico
Os médicos diagnosticam a artrite com um histórico médico, exame físico e raios-X da parte afetada. A tomografia computadorizada (TC) e a ressonância magnética (MRI) também são realizadas para diagnosticar a artrite.
â

Normal

Artrite
Opções de tratamento
Inicialmente podem se prescrever medicamentos antiinflamatórios, medicamentos condroprotetores (colágeno, glicosamina) e fisioterapia com exercícios e tratamento térmico.
Em casos graves, a cirurgia pode ser sugerida. O tipo de cirurgia dependerá da sua idade e da gravidade da doença. A artroscopia e o desbridamento (limpeza) da articulação costumam ser realizados se o paciente ainda estiver muito ativo. Em idosos com artrite severa, a substituição da articulação geralmente dá bons resultados. Geralmente é uma excisão da articulação danificada e implantação de uma artroplastia total do ombro (prótese total).
